放射線部
放射線部
放射線部は、放射線を使用した画像検査(一部除く)や、治療を医師の指示のもと行っている部門です。現在放射線部では、放射線技師8名、受付2名で業務を行っています。

X線撮影室:MRAD-A50S RADREX (Canon)
X線撮影室では、レントゲンの検査を行っています。レントゲンとはX線という放射線を使うことで、体の中を写すカメラのようなものです。
全身の臓器、骨などの検査を行います。
放射線を使用する検査ですので、妊娠中の方、妊娠の可能性のある方は、医師・看護師・担当放射線技師にあらかじめお申し出ください。
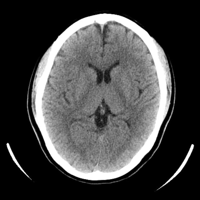
CT室:Aquilion ONE (Canon)・Revolution EVO (GE)
CTとは、X線という放射線を使用して人体の輪切り画像を撮る装置です。その画像を使用して、さまざまな方向の断面像や3Dの画像を再構成をすることもあります。
当院には320列と64列のCTがあります。
■320列CT (Aquilion One)
頭と心臓の検査
頭と心臓の検査
■64列CT (Revolution Evo)
心臓以外の検査全般
心臓以外の検査全般
造影剤という血管や病変をより鮮明に映し出すための薬を使用する検査の場合には、腕に針を刺し、造影剤を注入しながら検査を行います。
前処置(食事制限や服用してはいけない薬があるかどうかなど)は検査内容・目的によって異なります。
必要な場合は予約時に指示がありますので、必ずその指示に従うようお願いします。
放射線を使用する検査ですので、妊娠中の方、妊娠の可能性のある方は、医師・看護師・担当放射線技師にあらかじめお申し出ください。




MRI室:SIGNA Explorer1.5T (GE)
MRIとは、大きな磁石の力を使って体の輪切り画像を撮っていく検査です。CTとの違いは放射線を使用しておらず、検査時間が長く、大きな音がなります。CTでは分かりにくいものを写すための検査です。
この検査は手術歴等によって受けられない方、追加検査が必要になる方がいらっしゃいます。
安全に検査を行うため、事前調査を行っています。必ず医師・看護師・担当放射線技師にお申し出ください。
また、当院では脳ドックを行っています。
検査内容、予約方法などの詳細は脳ドックのページをご覧ください。
- 当院での主な検査 ・頭部
・頸部
・骨盤内(前立腺、子宮、卵巣)
・MR胆管膵管撮影(MRCP)
・肝臓
・腎臓や足の血管の検査
・頸椎・胸椎・腰椎などの椎体、脊髄検査
X線TV室:Plessart32 DREX-W20PJ3 (Canon)
X線TV装置とは、X線という放射線を使ってリアルタイムで体内の情報を確認しながら検査や治療を行う際に使用する装置です。
- 当院での主な使用 ・CVカテーテル、尿管カテーテルなどのカテーテル挿入・交換
・ヨード系造影剤を使用した尿路系造影検査
・胃や腸管などの消化管造影検査、食道造影検査
・水頭症シャントの設定圧確認・調整
尿路系造影検査を受ける方は、CTと同様の服用してはいけない薬がありますので、ご注意ください。
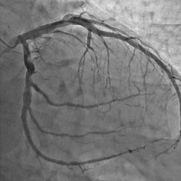
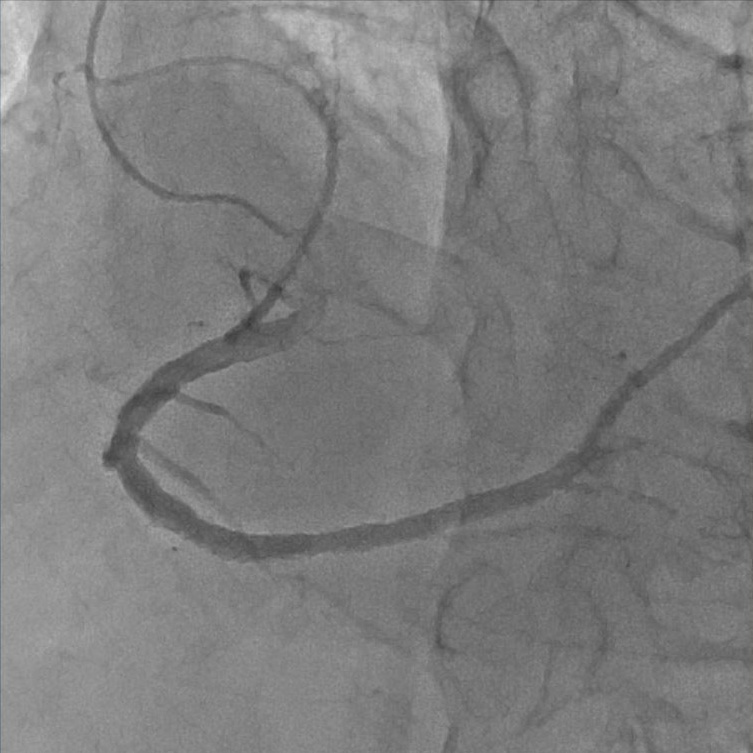
血管造影室:Alphenix (Canon)
血管造影装置は、X線TV室で使用している装置同様、X線を使ってリアルタイムで体内の情報を確認しながら手術を行う際などに使用する装置です。X線TV室と異なるのは血管造影に使用する点で、装置を動かすことによって患者さんの体の向きを変えずに、さまざまな方向から見れるような作りになっています。

血管造影とは、カテーテルと言われる細い管のようなものを、手首または足の付け根の動脈から血管内に挿入して、目的部位まで進め、造影剤を注入することで血管が描出されます。




放射線技師は主に装置の管理や画像の管理、被ばく線量の管理をしています。
- 当院での主な使用 ・心臓の血管の検査・治療(心臓カテーテル検査・治療)
・永久(または一時)ペースメーカー埋込
・アブレーション
・下肢血管の検査・治療
・脳腫瘍の術前や脳動脈瘤、脳動脈奇形(AVM)の確認などの脳血管の造影検査(DSA)
結石破砕室:ドルニエDeltall(Dornier MedTech)
結石破砕とは、尿管結石の治療法の一つです。尿管と呼ばれる尿の道に石ができ(尿管結石)、それが詰まってしまって自然に体の外に排泄されない場合、体の外から専用の機械を使って衝撃波をあて、石を砕いて小さくすることで排泄を促します。
専用の装置に横になっていただき、石に衝撃波を当てていきます。
当院では、治療直前にレントゲン検査を行い、石の状態を確認してから行っています。
うつらない石の場合には造影剤を使用した検査を行い、場所を確認してから治療を行っています。

Cアーム型X線発生装置:OEC 9900 Elite (GE)
Cアーム型X線発生装置とは、X線TV室や血管造影室で使用するを手術室などの別の部屋で使用できるようにしたものです。
- 当院での主な使用
・尿管ステント留置術
・IVHポート留置術
・長期留置カテーテル埋込
・IVHポート留置術
・長期留置カテーテル埋込
検査実績
2020年度装置別検査数
| 装置 | 件数 | |
|---|---|---|
| 一般撮影装置 | 12992件 | ポータブル(病棟撮影) | 1211件 |
| CT装置 | GE | 3670件 |
| Canon | 3021件 | |
| MRI装置 | 3426件 | |
| X線TV装置 | 255件 | |
| 血管造影装置 | 669件 | |
| Cアーム型X線発生装置 | 51件 | |
専門資格一覧
| 認定団体名 資格名称 |
取得 者数 |
|---|---|
| 一般社団法人 日本血管撮影・インターベンション専門診療放射線技師認定機構 血管撮影・インターベンション専門診療放射線技師 |
2名 |
| NPO法人日本乳がん検診精度管理中央機構 検診マンモグラフィ撮影技術認定 |
2名 |
| 一般社団法人 日本医療情報学会 医療情報技師 |
2名 |
| 公益社団法人 日本診療放射線技師会 令和3年厚生労働省告示第273号研修(告示研修)修了 |
9名 |
| 日本X線CT専門技師認定機構 X線CT認定技師 |
3名 |
| 公益社団法人日本診療放射線技師会 Ai認定診療放射線技師 |
1名 |
| 公益社団法人日本診療放射線技師会 画像等手術支援認定放射線技師 |
4名 |
| 一般社団法人 日本不整脈心電学会 心電図検定1級 |
1名 |


